免費評估
雙效矯正
關於矯正
肌功能與口腔關係
誰需要矯正
矯正方式
雙效矯正原理
雙效矯正優點
關於費用
矯正時間
評估與治療流程
矯正的安全性
雙效矯正需知
肌功能訓練
肌功能訓練原理
肌功能訓練的優點
兒童早期矯正的應用
個案分享
文章專區
矯正文章
肌功能矯正文章
關於我們
免費評估
雙效矯正
+
–
關於矯正
肌功能與口腔關係
誰需要矯正
矯正方式
雙效矯正原理
雙效矯正優點
關於費用
矯正時間
評估與治療流程
矯正的安全性
雙效矯正需知
肌功能訓練
+
–
肌功能訓練原理
肌功能訓練的優點
兒童早期矯正的應用
個案分享
文章專區
+
–
矯正文章
肌功能矯正文章
關於我們
免費評估
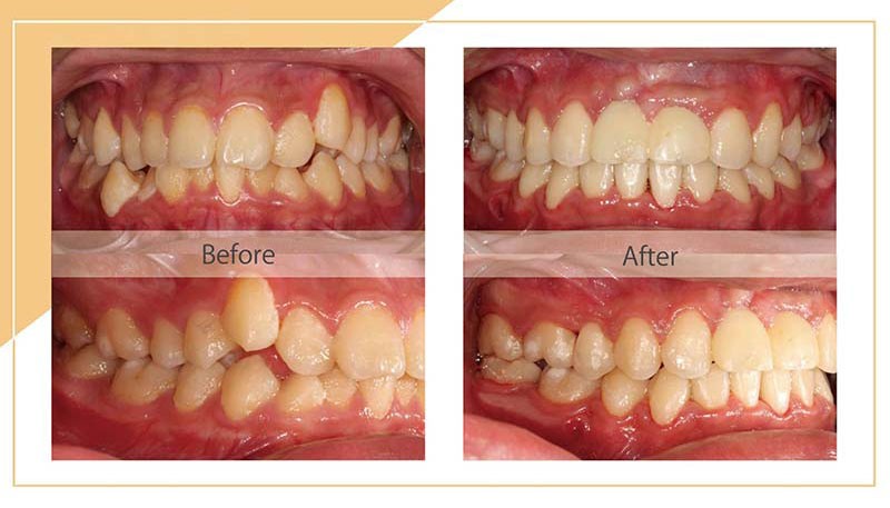
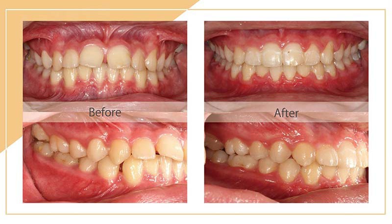
個案分享
首頁
/
個案分享
我的笑容印記
個案分享
矯正前後對比
分享到
關閉